Andrew White, PhD
Associate Professor
Department of Biomedical and Translational Sciences
White LabCornell University College of Veterinary Medicine
Veterinary Research Tower, Box 16
Ithaca, NY 14853-6401
Profile
Research/Clinical Interests
Our lab focuses on adult stem cell and cancer biology.
We are interested in understanding the role of adult stem cells in cancer initiation, cancer relapse, age-related decline in tissue homeostasis, and regenerative medicine.
We also aim to define the extrinsic and intrinsic factors regulating cancer initiation and relapse in order to identify preventative strategies. Furthermore, we are investigating points of potential targeted therapeutic intervention on established tumors.
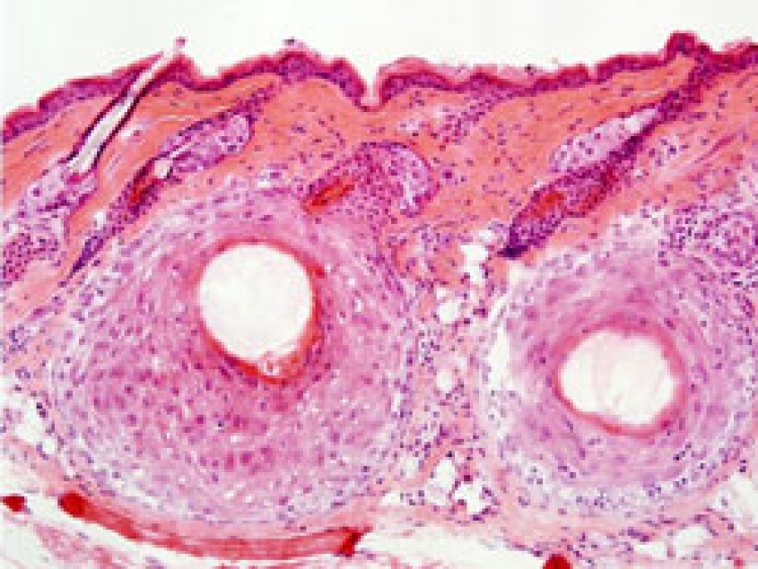
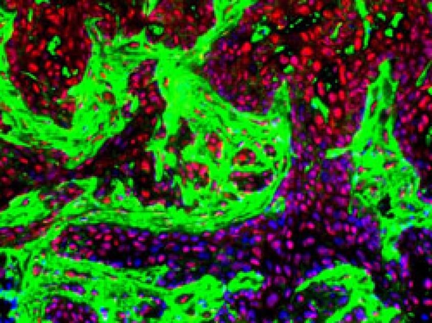
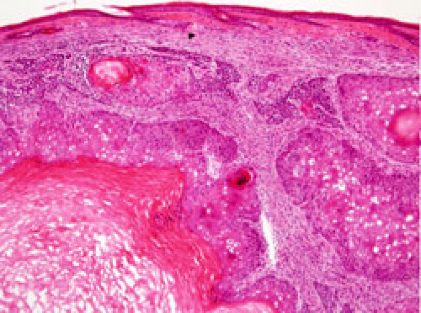
Our previous work identified hair follicle stem cells as particularly susceptible to tumorigenic transformation. In the context of Ras/p53 mediated skin cancer formation, hair follicle stem cells can act as cancer cells of origin, whereas their descendant progeny, the transit amplifying cell population, is completely resistant to transformation. Moreover, we determined that during the resting phase of hair follicle, stem cell quiescence can act as a natural block to tumor initiation. This process of tumor suppression via stem cell quiescence may apply to other organ systems, and in cases where stem cells cycle very rarely, this could account for cancer emergence in later stages of life.
Education
- Postdoctoral Research, Adult Stem Cells and their Relationship to Cancer Initiation, UCLA
- PhD, Developmental Biology, Washington University
Biography/Professional Experience
Andrew is interested in exploring the causes and conditions that facilitate skin cancer initiation and progression from resident stem cell populations. Andrew received his Ph.D. in Developmental Biology from Washington University in St. Louis. For his postdoctoral research, he studied adult stem cells and their relationship to cancer initiation at UCLA with Bill Lowry.
Publications
Link to all publications
See all publicationsAdditional Information
